鲁网12月9日讯“一开始就是孩子喊腿疼正规配资门户网,我们以为是玩耍累着了,没太当回事。” 回忆起女儿双双(化名)的病情,家长仍心有余悸。原来,经青岛市妇女儿童医院小儿神经内科团队精准诊断,双双的腿疼竟由中枢神经系统脱髓鞘病引发。得益于早发现、早诊断、早治疗,避免了病情进一步恶化。

奇怪的发病
10岁的小姑娘双双平时乖巧懂事,近期无明显诱因出现下肢阵发性疼痛。起初症状持续几天后便自行缓解,家长也就没太在意。可没过多久,新的症状突然袭来——她不仅肢体无力、麻木,连正常走路都成了难题,还伴随排尿困难的情况。
“这是什么怪病?”家长心里犯起了嘀咕。情急之下,赶紧带孩子前往青岛市妇女儿童医院就诊。
及时的诊断
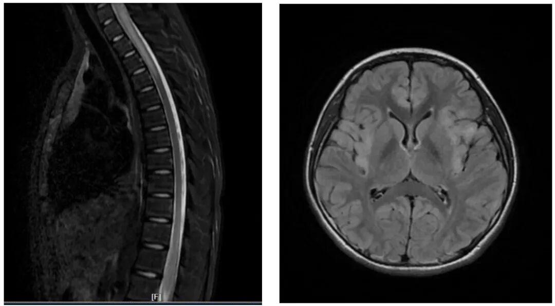
神经内科专家经详细问诊、查体后,当即决定将双双收入院,并安排了血液检查、腰椎穿刺、头颅 + 全脊髓磁共振等一系列检查。最终明确诊断,双双患有中枢神经系统脱髓鞘病。

什么是中枢神经系统脱髓鞘病?
可能很多家长对这个疾病感到陌生,简单来说,它是一组由自身免疫介导的疾病,主要影响中枢神经系统的白质。我们可以把神经比作“电线”,而髓鞘就是包裹在电线外面的“绝缘层”,当髓鞘受损(脱髓鞘),神经信号的传导就会受到影响,从而引发各种症状。
这类疾病可分为急性播散性脑脊髓炎、MOG 抗体相关疾病、视神经脊髓炎谱系疾病、多发性硬化等不同类型。其临床表现十分复杂多样,常见的有眼痛、视力下降、癫痫、头晕头痛、肢体无力、感觉麻木、二便障碍等,严重时还可能出现意识障碍、呼吸衰竭,甚至危及生命,或遗留严重的神经系统后遗症。
精准的治疗
儿童中枢神经系统脱髓鞘病的治疗核心是“早发现、早诊断、早治疗”,分为急性期和缓解期两个阶段:急性期需要早期、规范的治疗,一旦延误,可能导致视力下降、运动障碍、认知障碍等残障,还可能继发癫痫;缓解期则需要长期口服药物,并定期到门诊复查,目的是预防疾病复发,保护孩子的神经系统功能。
双双的病情属于起病急、进展快、病情重的类型,若不及时干预,很可能危及生命并留下终身后遗症。明确诊断后,神经内科团队立即启动治疗。经过积极救治,双双的肢体麻木症状已完全消失,肢体无力明显好转,目前已能短距离独立行走,正在逐步康复中。
专家提醒:警惕这些异常信号
由于儿童中枢神经系统脱髓鞘病早期症状可能不典型,容易被忽视,家长在日常生活中要多关注孩子的身体变化。如果孩子突然出现不明原因的肢体无力、麻木、疼痛,视力下降、头晕头痛、癫痫发作,或是二便障碍、行为改变等情况,应及时带孩子就医。
(通讯员 王鑫鑫)
责任编辑:刘亮亮正规配资门户网
和兴网提示:文章来自网络,不代表本站观点。